*本文转载于【医谱学术】微信公众号,作者:医谱学术
近日,国际SCI期刊《The Anatolian Journal of Cardiology》在线发表了由东南大学附属中大医院丁建东教授作为第一作者撰写完成的题为《ScienCrown瓣膜:一种用于生物瓣膜退化患者行主动脉瓣与二尖瓣同期置换的新型经导管心脏瓣膜》的文章,详细描述了首次使用国产新型ScienCrown瓣膜同期行主动脉瓣和二尖瓣瓣中瓣植入(TAViV和TMViV)手术过程,并讨论了该技术的优势和潜在应用,为临床医生提供参考。

一 引言
瓣膜性心脏病由瓣膜结构或功能异常引起,常见原因包括风湿性并发症、退行性老年化过程、感染性心内膜炎或创伤性损伤1,其可能导致心力衰竭或死亡。人工瓣膜置换术可恢复心脏接近正常几何结构和血流动力学,迅速缓解症状并改善长期预后,但长期组织瓣膜退化仍是一个挑战。对于生物假体瓣膜结构退化(SVD)的患者,随着年龄增长、合并症增多及复杂再次手术的开展,围手术期风险显著升高。因此,经导管瓣中瓣(ViV)技术为此类高风险患者提供了在失效生物瓣内植入经导管心脏瓣膜的一种微创瓣膜置换选项2。本文详细报道了首次使用国产新型ScienCrown瓣膜(中国乐普(北京)医疗器械股份有限公司)同期行主动脉瓣与二尖瓣ViV植入术的病例。其独特的自膨式低瓣架设计及完全可回收特性,在瓣膜释放过程中能提供卓越的锚定稳定性和定位准确性,为复杂解剖结构下ViV应用提供了关键技术支持。
二 病例报告
该患者为83岁男性,11年前植入的主动脉瓣(圣犹达医疗21mm)和二尖瓣(圣犹达医疗27mm)生物假体退化,导致充血性心力衰竭,左心室射血分数(LVEF)为40%,合并重度主动脉瓣狭窄/关闭不全及重度二尖瓣关闭不全。症状包括不明原因的胸闷、喘息、端坐呼吸和持续的夜间阵发性呼吸困难。检查发现心律失常、频繁早搏,二尖瓣/主动脉瓣区可闻及4/6级收缩期杂音。经胸/经食道超声心动图(TTE/TEE)确认二尖瓣生物假体重度反流[缩流宽度(VCW)8mm,平均跨瓣压差8mmHg],主动脉瓣生物假体重度狭窄/反流(平均跨瓣压差44mmHg;峰值流速5.7m/s,缩流宽度8mm)(图1)。其他检查发现左心房明显扩大,LVEF40%,中度肺动脉高压(估测收缩压57mmHg)。冠状动脉造影未见明显异常。术前心脏计算机断层扫描测量主动脉瓣环尺寸为周长58.6mm,面积252.9mm²,直径18.1mm,并发现右冠状动脉高度偏低(6.4mm)。二尖瓣瓣环直径24mm,主动脉-二尖瓣角度为61.8°,计算新左心室流出道面积为999.9mm²,提示经导管二尖瓣瓣中瓣(TMViV)术后左心室流出道梗阻风险较低。NT-proBNP显著升高(11363.03pg/mL)。由于患者高龄、既往胸骨切开术和合并症,传统再次主动脉瓣置换(AVR)或二尖瓣置换(MVR)风险过高。多学科团队在获得患者知情同意后,决定采用ScienCrown自膨式瓣膜同期进行经心尖主动脉瓣瓣中瓣(TAViV)及二尖瓣瓣中瓣(TMViV)植入术。


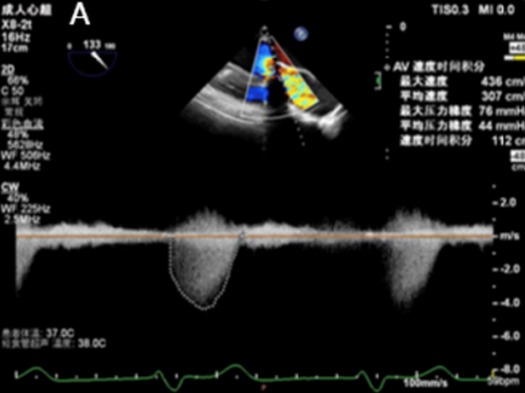
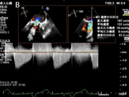
图1. 生物瓣膜假体功能的超声心动图评估。A:主动脉瓣生物假体严重狭窄伴反流(平均压差44mmHg;峰值流速5.7m/s ,VCW 8mm )。B:二尖瓣生物假体严重反流(VCW 8mm ,平均压差8mmHg)。
三 手术过程
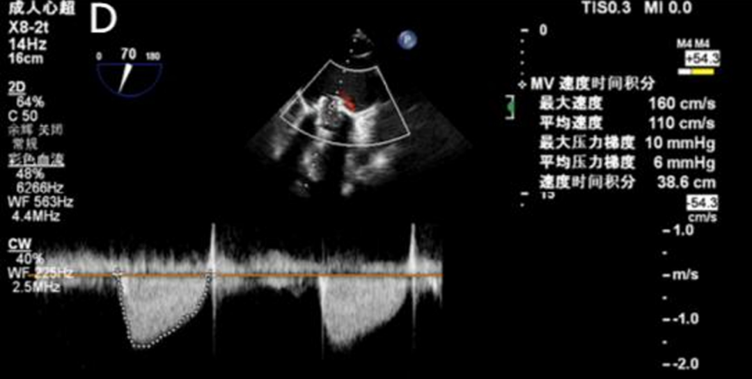
2025年6月4日,在全身麻醉下,通过TEE和荧光镜引导进行手术。通过右颈内静脉建立临时起搏。经左前外侧小切口暴露第五肋间隙,使用双重荷包缝合固定心尖;静脉注射肝素使活化凝血时间(ACT)>250秒。心尖穿刺后,先使用软导丝穿过主动脉瓣口,随后更换为Amplatz超硬导丝(波士顿科学公司)。在快速起搏(180次/分)下,使用18mm球囊对主动脉瓣生物假体进行预扩张。选择21mm ScienCrown瓣膜,旋转手柄将瓣膜从输送系统中逐步释放(视频1)。瓣膜成功植入后,无错位或瓣周漏(PVL)(图2B及视频2)。TEE显示主动脉瓣平均跨瓣压差为6mmHg,无瓣周漏(图2C及D)。随后,使用硬导丝穿过二尖瓣生物瓣进入左心房(视频3)。在快速起搏(180次/分)下于二尖瓣位置植入25mm ScienCrown瓣膜(图2E及视频4)。TEE显示二尖瓣平均跨瓣压差为5mmHg,瓣叶运动正常,无瓣周漏(图2F)。术后荧光检查显示两枚瓣膜均位置良好(图2G)。术后第一天床旁TTE显示二尖瓣压差2.52mmHg,流速0.76m/s;主动脉瓣压差13.39mmHg,流速1.7m/s,提示轻度主动脉瓣狭窄(AS)和正常二尖瓣功能(图3)。患者心功能改善至NYHA II级,并在术后第5天出院。





图2. 使用ScienCrown瓣膜进行经心尖主动脉瓣和二尖瓣ViV手术。A:18mm球囊对主动脉瓣进行预扩张。B:成功植入21mm ScienCrown瓣膜,显示无瓣周漏。C:植入后TEE确认无瓣周漏。D:术后TEE记录主动脉瓣平均跨瓣压差为6mmHg。E:二尖瓣位置25mm ScienCrown瓣膜的理想释放。F:植入后TEE评估显示二尖瓣平均跨瓣压差为5mmHg。G:术后影像学检查显示两枚植入假体瓣膜的位置及形态均正常。

图3. 术后经胸超声心动图检查结果

视频1(左);视频2(右)

视频3(左);视频4(右)
四 讨论
随着人口老龄化和风湿性心脏病的持续存在,联合瓣膜疾病越来越普遍。数十年来,其主要治疗手段是进行外科瓣膜置换术3。该技术的应用在过去20年中显著增加,尤其是在65岁以下的患者中4。与机械瓣相比,生物瓣具有显著优势:无需终身抗凝治疗,且能大幅降低血栓栓塞事件发生率。然而,生物瓣的局限性仍然是结构性瓣膜退化(SVD),常导致老年患者需接受高风险的再次手术3。2007年Wenaweser等人首次报道经导管主动脉瓣中瓣植入术。此后,该技术已成为高风险患者的一种可行选择,有效减少围手术期并发症的发生。2009年,Cheung团队首次进行了经心尖二尖瓣瓣中瓣植入术6,进一步扩展了这一技术的应用7。当前的经导管主动脉瓣瓣中瓣(TAViV)/二尖瓣瓣中瓣(TMViV)手术疗效稳定,手术成功率超过90% ,且结果高度可重复。
在老年人群中,主动脉瓣与二尖瓣生物瓣同时退化的现象日益普遍8。双瓣退化会加重血流动力学负荷,因此大多数患者被认为再次开胸手术风险过高,不适合再次接受开放手术。经导管瓣中瓣技术具有微创优势,有时需同期进行双瓣介入治疗。尽管已有研究者报道采用不同入路(经心尖与经股动脉)和球囊扩张式瓣膜同期实施TAViV和TMViV手术8,9,但本报告首次描述了采用创新型ScienCrown瓣膜,通过完全经心尖入路在单次手术中完成双生物瓣退化的瓣中瓣植入术。在本病例中,先进行TAViV的原因主要是主动脉瓣环与二尖瓣瓣环相邻,通过主动脉-二尖瓣纤维幕帘相连。因此,若先处理二尖瓣,可能在后续的主动脉瓣治疗中造成一定程度的阻塞。
ScienCrown经导管心脏瓣膜采用完全可回收和可重新定位的自膨式生物瓣设计。其更短的镍钛合金支架结构降低了冠状动脉阻塞的风险,而三片牛心包瓣叶保证了优异的血流动力学性能。该装置10与经股动脉(18-21Fr)和经心尖(27Fr)输送系统兼容,配备预弯型的柔性导管以提高导航精度和位置准确性。可靠的锁定/解锁机制和全挂连接设计确保了完全可回收和可控释放。通过双层内外裙边封堵最小化瓣周漏,而支架底部的3个放射性标记优化了植入可视化效果10。在本病例中,团队成功实施了同期经心尖TAViV和TMViV手术,术后无残余跨瓣压差及明显瓣周漏,患者临床症状显著改善。
本研究的局限性为单中心病例报告,需通过多中心注册研究进一步验证。
五 结论
本报告证实了采用ScienCrown瓣膜的自膨式低瓣架设计及完全可回收特性,同期双瓣ViV治疗在生物假体瓣膜失效患者中应用的安全性和可重复性。
在本病例报告的撰写过程中未使用人工智能(AI)辅助技术(如大型语言模型[LLM] 、聊天机器人或图像生成器)。

专家点评

临床意义
解决高风险患者难题:该病例报告展示了ScienCrown瓣膜在一位83岁高龄、合并多种疾病且传统手术风险极高的患者中的成功应用。这种经导管瓣中瓣技术为那些因年龄、既往手术史或其他合并症而无法耐受传统开胸手术的患者提供了一种有效的治疗选择,有助于改善这类患者的生活质量和预后。
应对生物假体退化问题:生物假体瓣膜退化是心脏瓣膜置换术后常见的问题,尤其在老年患者中更为突出。本病例中患者11年前植入的生物假体瓣膜出现退化,导致严重的瓣膜功能障碍。ScienCrown瓣膜的成功应用为解决这一临床难题提供了新的思路和方法,有助于延长生物假体瓣膜的使用寿命,减少患者再次手术的风险和痛苦。
多学科团队合作模式:论文中提到的多学科团队(包括心脏内科、心脏外科等)共同决策和协作完成手术的模式,强调了在复杂心血管疾病治疗中多学科合作的重要性。这种模式能够充分发挥各学科的优势,为患者制定最优化的治疗方案,提高治疗的成功率和安全性,对于其他类似复杂病例的治疗具有借鉴意义。
创新性及展望
新型瓣膜的应用:ScienCrown瓣膜作为一种新型的经导管心脏瓣膜,其独特的自膨式、低瓣架设计和完全可回收性能在本病例中得到了成功应用。与传统的瓣膜相比,这种设计可能在减少瓣周漏、提高植入精度和降低手术风险等方面具有优势,为经导管瓣膜置换技术的发展提供了新的方向。
单次手术双瓣膜置换:本病例是世界上首次报道的单次手术经心尖途径同时进行主动脉瓣和二尖瓣瓣中瓣植入的病例。这种手术方式减少了患者的手术次数和创伤,降低了手术风险和并发症的发生率,同时也提高了手术效率,对于合并多瓣膜疾病的患者具有重要的临床意义。
手术策略的优化:论文中详细描述了手术过程中的策略选择,如先进行TAViV的原因等。这种对手术策略的深入探讨和优化,有助于提高手术的成功率和安全性,为未来类似手术的开展提供了宝贵的经验。

扫码查看原文
-END-
Copyright © 2021, Scientech Medical. All rights reserved.
沪公网安备31011702008238号沪ICP备2021017431号