*本文转载于【《门诊》杂志】,作者《门诊》杂志
2022-11-15 20:38
作为全球首款全降解封堵器,MemoSorb®的问世为先心病介入治疗提供了全新选择,当前其在国内临床应用之路已正式开启。2022年11月13日,广西医科大学第一附属医院庞玉生教授、陈成主治医师、苏丹艳主治医师、黄钰钦医师及其团队在海军军医大学附属长海医院秦永文教授指导下,以及广西医科大学第一附属医院伍伟锋教授、黄凯主任及郭盛兰教授的现场支持下,凭借默契的配合,顺利完成MemoSorb®全降解封堵器系统上市后广西地区的首例植入,代表着MemoSorb®全降解封堵器临床应用的“足迹”实现了进一步扩大!未来随着该款封堵器的迅速普及和广泛应用,将为我国广大先心患者带来更多临床获益。

病例描述 | 室间隔瘤形成并缺损——膜部至嵴下混合型、两破口
MemoSorb®全降解封堵器系统
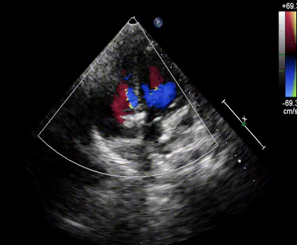
患者为4岁男童,与同龄儿相比左室增大,左房稍增大,右房室与室间隔厚度正常。室间隔上段膨向右室并连续中断,左室长轴观察回声脱失约6mm,两个破口,分流约4mm。二尖瓣形态,结构正常,有轻微返流,主动脉根部内径正常。超声诊断:室间隔瘤形成并缺损(膜部至嵴下混合型),室水平左向右分流。

▲术前超声
依据患者病史、查体及心脏超声结果,室间隔缺损诊断明确,有介入封堵手术指征。综合患者及家属意见,考虑到患者术后获益最大化,经团队讨论后,拟使用我国自主研发的MemoSorb®全降解封堵器系统行室间隔缺损封堵术。
手术操作 | 顺利植入MemoSorb®全降解封堵器,术后效果满意
MemoSorb®全降解封堵器系统
 
▲术中精彩剪影
患者全麻后,术中经右侧股静脉、动脉入路,成功建立动静脉轨道。

▲室间隔封堵路径
送入10 F输送鞘管,鞘管通过室间隔缺损显示双轨征,证实其被送入右心室;再经输送鞘送入一枚MemoSorb®全降解封堵器ABFDQ-II 07(封堵器腰高5mm x 直径7mm),封堵器到位后造影,瓣上造影无AR。随后在经胸超声指导下先释放左盘面,牵拉确定左盘面释放稳定后,缓慢向回拉鞘管直至左盘贴靠左室面,继续释放右盘面,左右盘面释放后,锁紧成型线,此时可在超声下明显观察到封堵器由哑铃形态变为标准工字形态。
 
▲成型锁定前 ▲成型锁定后
术后造影及经胸超声结果显示MemoSorb®全降解封堵器形态良好,封堵完全,无残余分流,主动脉无返流,遂完全释放封堵器,回收成型线,封堵效果理想,顺利完成手术。

▲封堵器到位后瓣上造影无返流
▲术后造影
专家访谈 | MemoSorb®全降解封堵器——完全降解无残留,开启先心治疗新局面!
MemoSorb®全降解封堵器系统

庞玉生教授:该例患儿出生后体检发现心脏杂音,超声证实室间隔缺损,缺损直径约为6 mm,本存在自然闭合的可能性,但遗憾的是,成长至4岁多缺损始终未自行闭合,而未来自然闭合的可能性几乎没有,故此次考虑进行手术治疗。在术前沟通过程中,患儿父母明确表示希望采取介入治疗这种创伤性较小的手术方式,同时在得知MemoSorb®全降解封堵器已开始临床应用时,亦强烈要求应用该款封堵器进行室间隔缺损介入封堵治疗。
既往针对先心介入封堵器的选择主要是传统镍钛合金封堵器,但金属异物会伴随患者终身,存在传导阻滞或心脏扩大等远期并发症的风险。而对于MemoSorb®全降解封堵器,其植入体内则是起到帮助心脏自体组织生长修复的临时桥梁作用,在完成心脏缺损的修补功能后会逐步降解,上市前临床研究显示植入术后1年左右便可降解完全,无异物残留体内。同时,在此次应用中也感受到在释放过程中成型线的设计为封堵器的顺利释放提供了更多保障,封堵器良好的成型性能也使得封堵器更好的贴合心室壁,带来更好的临床预后。因全降解封堵器在透视下完全不显影,故术中释放该款封堵器需全程在超声指导下进行,这就需要手术团队具有高超的彩超水平,超声医师与介入术者之间配合默契极为重要。从操作更安全的角度出发,术中结合超声引导与X线透视行介入封堵具有重要意义,这样不仅可大大减少X线透视对患者及医生的伤害,同时亦可凭借超声实时监测的优势为术中封堵器精准定位及释放等提供有效指导。
MemoSorb®作为全球首款全降解封堵器,开启了室间隔缺损治疗的新局面。未来通过输送鞘管等配套器械进一步的改良优化,将为患者带来更多获益,而如果能够将可降解生物材料成功用于房间隔缺损、动脉导管未闭等其他先心介入封堵器的研发设计中,对于广大先心病患者而言更是一种福音。目前在国内应用MemoSorb®全降解封堵器介入处理室间隔缺损的中心数量尚不多,但室间隔缺损作为常见的先天性心脏病,发病率高达50-60%。因此,希望未来能有越来越多的临床医师将全降解封堵器广泛应用于临床,通过这种全新且优异的微创疗法,帮助更多的室间隔缺损患儿重获健康心脏,同“正常”孩子那般拥有美好童年与未来,无疑这所带来的远期意义是非常巨大的。
伍伟锋教授:先心病治疗领域历经数十年栉风沐雨实现了整体变革,先心介入治疗技术已愈加成熟,材料的持续发展、器械的更新换代则为先心领域持续蓬勃发展注入勃勃生机。MemoSorb®全降解封堵器作为中国科技创新的典范,充分展现出中国力量,有力证明了中国完全具备开展高水平心血管医疗器械产品核心技术研发的能力。MemoSorb®全降解封堵器的问世应该说是先心领域的一大进步,代表先心病介入治疗进入2.0时代。“没有最好、只有更好”,为帮助更多临床医师掌握超声引导全降解封堵器植入术,在通过多种形式、多种途径进行临床带教的同时,如何制定一套标准化操作流程值得未来积极探索。广西作为面向东盟的重要窗口,是我国唯一与东盟海陆相连的省份,通过这一窗口有助于将国内新技术、新器械辐射到更多东盟国家,惠及更为广大的患者群体。此次MemoSorb®全降解封堵器在院内的精彩亮相,不仅开启了该款封堵器在广西区内临床应用的序幕,同时代表着我院向着建设高质量、高水平医院目标迈出重要一步。面向未来,我院亦会积极参与推动MemoSorb®全降解封堵器及相关技术的普及开展,为广西及区域先心介入领域发展注入新动力。
	Copyright © 2021, Scientech Medical. All rights reserved.
沪公网安备31011702008238号沪ICP备2021017431号