*本文转载自微信公众号:Clinic門诊新视野,作者《门诊》杂志
2023年7月6日,广东省妇幼保健院孙善权教授、许伟滨教授团队,在广东省人民医院张智伟教授的指导下,成功完成全国首例针对单入口多出口型膜部瘤室间隔缺损患儿的MemoSorb全降解封堵器植入术,不仅为患儿带来了更好的远期预后,重获心生;同时也进一步提升了院内先心病介入诊疗水平,为区域内患者带来了更先进的治疗选择。相信随着MemoSorb全降解封堵器的不断普及,将有更多患儿从中获益,重获一颗健康的心脏!

默契配合,完美封堵|一气呵成,顺利植入MemoSorb®全降解封堵器
MemoSorb®全降解封堵器系统


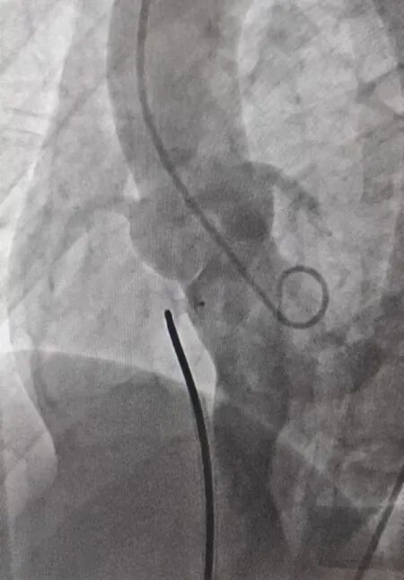
术前造影
随后经室间隔中间分流口建立经股动-静脉工作轨道,输送一枚ABFDQ-Ⅱ 08(封堵器腰高5mm x 腰部直径8mm) MemoSorb®全降解封堵器,在超声引导下,经过中间分流释放左盘面,牵拉确认释放稳定后释放右盘面,完成释放后超声提示封堵器骑跨缺损部位两侧,几乎无残余分流,故锁紧成型线使封堵器由葫芦状完全成“工”字型,最终超声显示封堵器位置良好,无残余分流,未对流出道、主动脉瓣、二尖瓣及三尖瓣产生较大影响,封堵效果理想,手术圆满成功!
  
传统封堵器术后造影 全降解封堵器术后造影

术后超声
专家访谈|教授:理念与技术的革新,全降解封堵器未来可期!
MemoSorb®全降解封堵器系统
许伟滨教授:此次患儿是一位七岁的女孩,对于创口有着较高的要求,同时患儿家属在术前充分对比了当前国内外的金属封堵器及MemoSorb®全降解封堵器后,最终决定使用全降解封堵器。
患者超声结果显示为室间隔膜周部缺损,右室面存在多股分流,这对我们手术团队带来了极大的挑战,但张智伟教授帮助我们充分研判超声结果后,认为可通过一枚封堵器,完全封堵右室面多股分流,所以我们便尝试应用全降解封堵器进行封堵,最终取得了令人满意的结果。
全降解封堵器由于材料特点,造影下不可见,更多依赖超声指导,所以对于术者及团队的心脏超声读图技术提出了较高要求,必须具备较高的超声技能,熟练掌握超声读图技巧,同时可根据读图结果实施指导手术操作,方能顺利完成手术。所以这也要求超声医师与术者具有默契配合,一方面术者与超声医生要在术中加强沟通,进行全面配合;另一方面,超声医生的熟练操作,也可以更好的指导手术操作,节省手术时间。我院团队开展超声指导心血管介入治疗工作多年,在此方面积累了充足的经验,方能在此次植入全降解封堵器的过程中游刃有余。
全降解封堵器无疑是未来先心病介入治疗发展的重要方向,不仅是技术的革新与突破,更是治疗理念的一次飞跃,极大避免了传统封堵器的不足,为患者带来了更理想的远期预后。如今,全降解封堵器正处于发展的早期阶段,仍需不断积累临床经验,规范化器械操作,进一步提升其安全性和有效性,为患者带来更多获益。通过今天的手术也可以发现,MemoSorb全降解封堵器可应用于大多数室间隔缺损患者,未来临床适应症有希望进一步扩大,为更多先心患者带来福音,在此也期待MemoSorb®全降解封堵器能在临床实践中进一步普及,还广大先心患者一颗健康心脏!
	Copyright © 2021, Scientech Medical. All rights reserved.
沪公网安备31011702008238号沪ICP备2021017431号