*本文转载于【门诊新视野】,作者《门诊》杂志
2026年3月19日-22日,第27届南方心血管病学术会议(SCC 2026)在广州白云国际会议中心盛大举办。3月21日,小儿心脏病学论坛上,多位临床专家聚焦生物可降解封堵技术体系(MemoSorb)在儿童结构性心脏病治疗中的应用,分别分享了单中心临床应用随访数据及创新实践进展,系统呈现了这一适配儿童成长型器械方案的可靠安全性、有效性与广阔前景,持续为新技术规范化普及与长远发展,提供了宝贵的经验参考与坚实的临床信心!
近年来,随着国内外循证医学证据的不断积累,以及更多中心临床应用随访得到的积极结果,以MemoSorb为代表的中国原创生物可降解封堵技术体系日趋成熟,为全球结构性心脏病介入治疗高质量发展开辟了更广阔的空间。
JAMA(IF55.0):生物可降解房间隔缺损封堵器与传统金属封堵器的多中心随机对照临床试验
Circulation丨新型可降解封堵器行经导管PFO封堵术:一项前瞻性、多中心、随机对照临床试验
小儿心脏病学论坛 | 多中心真实世界数据不断完善可降解循证链、创新实践拓展儿童心脏介入边界
李奋教授:可降解封堵器在儿童房间隔缺损介入治疗中的应用─单中心105例报告

会上,上海交通大学医学院附属上海儿童医学中心李奋教授报告了单中心105例应用可降解封堵器介入治疗儿童房间隔缺损(ASD)的短中期随访结果。该报告系统回顾了2025年1月1日-2026年3月6日期间在心内科接受可降解ASD封堵介入治疗的病例资料,所有病例均选用全球唯一上市的国产MemoSorb可降解ASD封堵器。








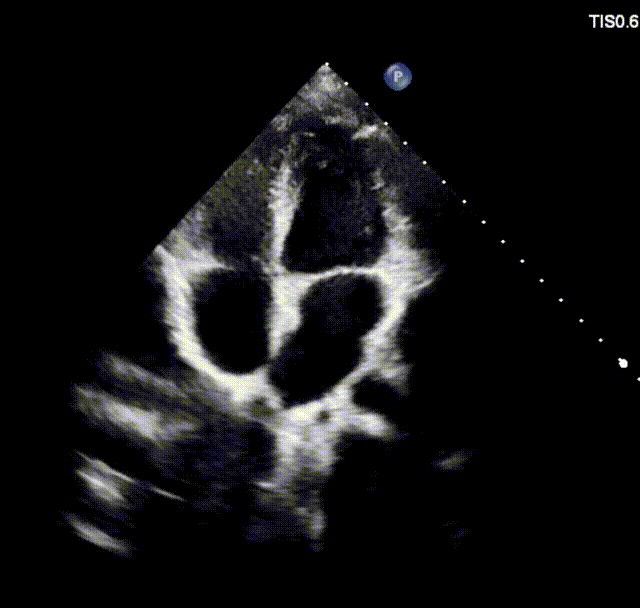
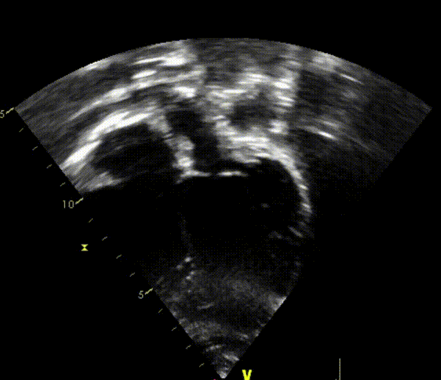
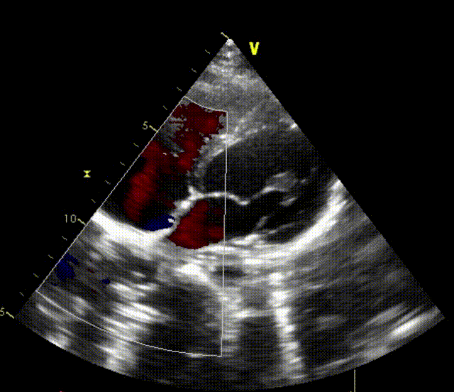
室早RFCA+ASD介入病例(上:术后6个月心超;下:术后12个月心超)
上述良好的短中期随访结果验证了可降解封堵器在儿童ASD介入治疗中的安全性与有效性,期待更长期的随访数据进一步验证远期效果。
最后,李奋教授结合五例ASD患儿可降解封堵案例,特别强调儿童患者正处于生长发育关键期,可降解封堵器促进组织再生的“临时桥梁”作用机制尤为契合这一特殊群体的成长特性——既在缺损愈合的关键窗口期提供可靠支撑,又避免金属异物长期留存对心脏结构发育的潜在干扰,兼具安全有效、并发症少、介入无痕等优势,已成为当前家长及患者所期望的理想治疗方式;而该技术对手术医师操作要求稍高,手术操作过程虽不复杂,但需经历从放射线引导到超声引导的习惯转变。另一方面,适应症的把控也是关乎手术效果的关键。
陈智教授:全降解封堵器在儿童冠状动脉瘘中的应用

陈智教授最后强调,全降解封堵器代表了未来发展方向,其在复杂冠状动脉瘘治疗领域的临床应用潜力巨大:既可有效解决粗大瘘管封堵的器械锚定不稳难题,又可规避金属永久残留的远期血栓风险及刚性封堵器对冠脉发育的束缚,同时可消除术后随访中金属伪影对冠脉重塑评估的干扰,为患者提供了全新治疗选择。
李博宁教授:未成年人卵圆孔未闭治疗效果观察


最后,李博宁教授指出,未成年人卵圆孔未闭的介入治疗需严格把握适应症,对于无症状或症状轻微、分流程度较轻的患儿,应优先选择随访观察;而对于反复偏头痛、不明原因脑卒中或存在明显右向左分流的患儿,可降解封堵器介入治疗或是一种安全有效的选择。
总结
本次小儿心脏病学论坛聚焦生物可降解封堵技术,从房间隔缺损、冠状动脉瘘到卵圆孔未闭,多角度呈现了该技术在儿童结构性心脏病治疗中的临床应用进展。与会专家一致认为,以MemoSorb为代表的生物可降解技术体系,以其“植入无残留”的核心理念和良好的组织相容性,为儿童患者提供了契合其生长发育特性的创新解决方案,有效规避了传统金属封堵器的远期风险,代表了结构性心脏病介入治疗的重要发展方向。
同时,专家们也指出,该技术的规范化推广仍需持续努力:一方面,需积累更多长期随访数据,验证封堵器完全降解后心脏结构的远期修复效果;另一方面,需加强术者培训,促进超声引导操作技术的普及,并建立完善的诊疗评估体系。随着循证医学证据的不断丰富和技术体系的持续优化,生物可降解封堵技术有望在儿童结构性心脏病领域发挥更大价值,为全球患儿带来更优质的治疗选择。

历经十余年医工研多学科协同创新,乐普心泰MemoSorb生物可降解封堵技术已覆盖ASD、VSD、PFO等较全结构心病谱,为广大患者提供了更加全面和先进的治疗选择。据了解,为服务更多未被满足的临床需求,基于可降解核心技术的创新边界正持续延伸,当前国内可降解左心耳封堵器也已完成多中心临床试验全国入组,外周大血管(如主动脉微创治疗)等介入新领域的研发亦初现成果,构建覆盖心血管及外周大血管等临床全场景的解决方案指日可待。
在循证医学层面,中国原创可降解封堵技术通过国内单中心及多中心研究随访数据积累取得丰硕成果,多项多中心临床研究登顶国际顶级期刊JAMA、Circulation,标志该技术的科学性、创新性与临床价值获国际权威学术界验证,正从“中国方案”升维为“全球标准”。在临床应用方面,该技术体系已在全国广泛应用,获高度认可与积极评价,还反向输出至欧美及“一带一路”沿线国家地区,造福的全球结构性心脏病患者数量持续增长。伴随介入“可降解”趋势,期待未来以临床价值为核心、科学证据为支撑,推动可降解封堵技术体系迈向更广阔舞台,以中国智慧和力量推动全球医疗健康事业发展。
Copyright © 2021, Scientech Medical. All rights reserved.
沪公网安备31011702008238号沪ICP备2021017431号