实战篇·手术直播
CASE1:经胸途径全降解室缺封堵器植入术
术者:中国医学科学院阜外医院潘湘斌教授团队

患者情况:
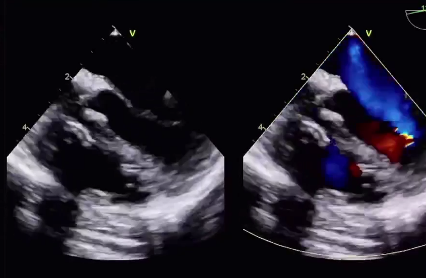
该例手术患者是4岁男性患儿,术前经胸超声检查示室间隔缺损4mm,室水平左向右高速分流。术者团队综合评估后,决定使用全降解封堵器行室间隔缺损的封堵。

▲术前超声
手术过程:
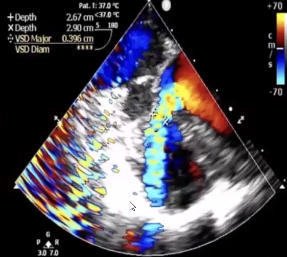
患儿在全身麻醉、经食道超声引导下行经胸 VSD 封堵术。将导引钢丝沿穿刺针进入右心室,明确导引钢丝经VSD入左心室内,撤除穿刺针。

▲术后超声
在食道超声引导下,沿导引钢丝送入输送鞘管到左心室,撤除导引钢丝,经输送鞘置入一枚ABFDQ-II 06(封堵器腰高5mm×直径6mm)全降解封堵器进行封堵,推拉试验检测封堵器稳定性,食道超声检查无残余分流、对瓣膜无影响,封堵器形态、位置良好,遂释放封堵器,剪断并抽出成型线,撤出导管。术后超声示封堵效果十分理想,无残余分流、手术完成。
CASE2:经腋下途径全降解室缺封堵器植入术
术者:阜外华中心血管病医院范太兵教授团队

患者情况:
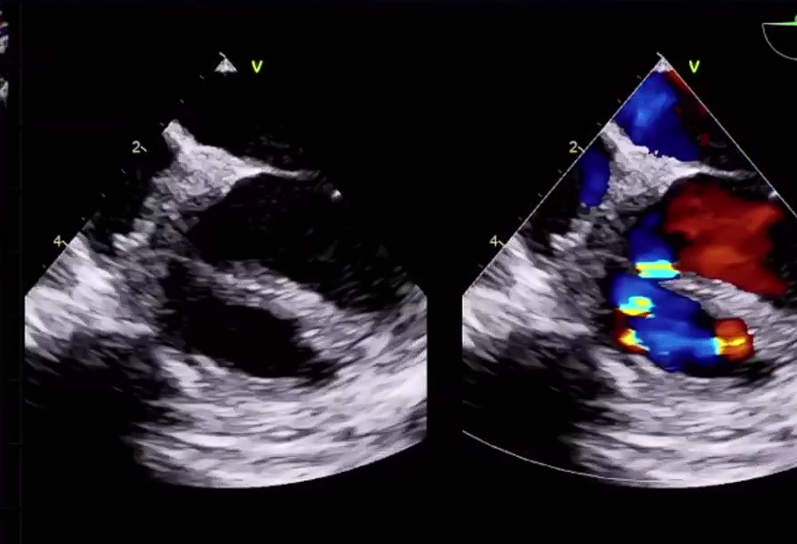
患者为6岁女童,心脏超声检查示膜周部室间隔缺损5.3mm,室水平左向右分流,左心增大,主肺动脉及分支增宽,三尖瓣少量反流。考虑患儿获益最大化,综合患儿家属意见,经团队讨论后,拟使用MemoSorb®全降解封堵器系统为患儿行室间隔缺损封堵。

▲术前超声
手术过程:
术中在经食道超声引导下,选择右腋下2-3cm小切口,由第四肋间进胸,经右房游离壁穿刺后,置入导引钢丝,经三尖瓣穿过室间隔缺损到达左心室腔,建立输送轨道,随后经输送鞘置入一枚ABFDQ-I07(封堵器腰高2.8mm×直径7mm)的全降解室缺封堵器进行封堵,食道超声复查确认无残余分流、瓣膜启闭功能正常,封堵器位置、形态良好后释放,剪断成型线,撤出导管,缝合切口,手术顺利完成。

▲术后超声
CASE3:可降解左心耳封堵器成功挑战超大菜花型心耳封堵
术者:海军军医大学附属长海医院秦永文教授&合肥高新心血管病医院周清教授团队

患者情况:
患者为66岁男性,因“反复心悸胸闷5年,加重1周”入院,有既往脑梗死病史,目前口服抗凝药物。术前查心动图提示“快速性心房颤动”,心脏彩超提示“双房增大”,二尖瓣轻度反流,三尖瓣轻中度反流,左室收缩功能正常,诊断为心律失常,持续性心房颤动,慢性心力衰竭(心功能Ⅱ级),脑梗死症状;房颤CHA₂DS₂-VASc评分4分、HAS-BLED评分3分,血栓栓塞及出血风险均较高;食道超声联合CT重建示左心耳呈罕见超大菜花型,心耳开口大、深度浅,封堵难度较大。

▲术前超声 ▲ 术前造影
结合评估结果和患者及家属意愿,术者团队使用了我国自主研发的Bio-Lefort生物可降解左心耳封堵器,行射频消融+左心耳封堵“一站式”手术。射频消融完成后实施左心耳封堵,封堵器送入后,位置、锚定情况良好,牵拉试验稳定,符合释放原则,遂完全释放封堵器,术后造影示无残余分流,复查超声证实封堵器位置良好,封堵效果理想,手术成功!

▲ 术后超声 ▲

▲术后造影
CASE4:完全可降解卵圆孔未闭封堵器植入术

4月2日,大会压轴手术直播——完全可降解卵圆孔未闭封堵器植入术,由中国医学科学院阜外医院潘湘斌教授团队领衔,来自意大利、德国、新加坡、菲律宾等多国专家同道同台操作演示!手术受益者是一位50岁脑梗患者,因反复头疼不止,入院就诊,心脏超声提示卵圆孔未闭。结合查体评估和患者及家属意愿,潘湘斌教授团队通过介入封堵术,为患者植入完全可降解PFO封堵器,整个过程约30分钟,手术圆满成功。
示教篇·培训讲课
本次结构心大会上,“封堵器械可降解化”成为主线研讨的热点话题,众多专家围绕此新技术、新器械展开了高水平示教讲课。
潘湘斌教授在大会上介绍了全降解封堵器产品的设计理念及研发历程,他指出,全降解封堵器系统的临床效果非劣于传统镍钛合金封堵器,创新的结构设计可以实现良好的封堵效果,生物可降解材料的升级选择,降低了对周围组织的压迫;材料的特殊性,决定了该术式在超声引导下进行,减少辐射,同时可以降解完全,无异物残留体内,避免长远期的安全隐患,有力推动了先心病“绿色”治疗时代的到来。

秦永文教授从先心病介入治疗器械研发进程及现状出发,对当下创新型全降解封堵器在先心病治疗中的应用进行了详细讲解。并结合国内外关于可吸收封堵器的实验研究成果,以及我国自主原研的全降解封堵器当前的临床应用进展,高度评价了该款封堵器在先心室缺介入治疗中的可行性、安全性和有效性。

上海儿童医学中心李奋教授从自身已参与的全降解室缺介入封堵手术经验出发,详细介绍了全降解封堵器在经皮室缺介入治疗中的操作流程,包括术前超声评估、输送轨道建立、封堵器选型、封堵器位置形态确认、释放评估等步骤,系统扼要地总结了规范化操作要点,为全降解室缺封堵术临床应用的持续开展提供了宝贵经验。

阜外华中心血管病医院宋书波教授结合当日一例全降解室缺封堵术,为线上线下同道讲解了全降解封堵器在经胸室缺治疗中的操作流程及注意事项,他分享了该中心全降解封堵术临床研究随访结果,以及临床应用开展情况,再度证实了该器械在先心室缺治疗中的临床优势。同时,他提出作为新型器械,全降解封堵器的临床应用之路任重道远,还需广大医生同道共同努力,不断交流学习,积累经验,让新技术造福更多患者。

针对超声引导技术特点,中国医学科学院阜外医院董靖教授带来了纯超声引导手术中的新利器——超声引导导丝的操作分享。该款超声引导专用导丝由潘湘斌教授及其团队自主研发,采用镍钛网横截面较大及梭形设计,方便超声定位及显影,更利于超声引导技术的学习和推广。

大会期间,潘湘斌教授团队利用超声引导导丝的辅助,完美开展了一例纯超声引导下房缺介入封堵手术的实时直播。
持续创新·砥砺前行
作为将生物可降解技术率先应用于结构性心脏病领域的开创者,心泰医疗始终坚持以创新驱动发展,持续投入研发,从已上市并应用于临床的全降解室缺封堵器,到临床研究阶段的可降解左心耳封堵器,再到上市前注册审批阶段的可降解卵圆孔未闭封堵器,可降解技术产品管线高效高质发展,逐步形成企业自身发展优势。以终为始,未来,心泰医疗将以可降解技术产品为新的起点,精研创新,开拓进取,为结构性心脏病患者提供更为优异的产品和服务。
Copyright © 2021, Scientech Medical. All rights reserved.
沪公网安备31011702008238号沪ICP备2021017431号