本文转载自医谱学术微信公众号,作者医谱学术
先天性冠状动脉瘘(CCAF)作为一种罕见的冠状动脉畸形,与心肌缺血、心力衰竭及猝死等严重并发症的发生发展密切相关,及时、有效干预至关重要。近日,湖南省儿童医院陈智教授及其团队在CCAF介入治疗领域取得重要进展:团队在全球范围内,首次创新性地将MemoSorb全降解封堵器成功应用于左冠右房瘘封堵,不仅为CCAF的临床治疗提供了创新思路,更充分验证了全降解封堵器在治疗复杂冠状动脉瘘中的临床应用潜力,为冠状动脉瘘患者带来了全新的治疗希望。
患者信息
基础信息:女,11岁。
主诉:发现心脏杂音1年余入院。
现病史:患儿于1年余前体检时发现心脏杂音,行心脏彩超示:左冠状动脉回旋支-右房瘘并左冠状动脉瘤样扩张,由于患儿一般情况可,家属自觉患儿发育等正常,一直未予特殊处理。为求进一步治疗于湖南省儿童医院复诊,门诊医生评估有手术治疗指征,收入心内科。病程中,一直无气促,无心悸,无发绀、晕厥、声音嘶哑等,运动后疲劳明显,食纳正常,大小便正常。
术前检查
术前CT检查


左冠状动脉主干增粗明显,左回旋支向右发出一支血管前走行汇入右心房。
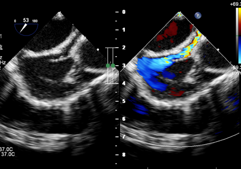
术前超声检查


超声下可见左冠状动脉异常增宽 右心房后壁侧可见高速紊乱的血流信号

左回旋支向右发出一支血管前走行汇入右心房
术前心电图

手术策略
术中测量患者QP/QS数值为2.11,属于大型分流,具有明确的介入手术指征。根据术前超声及造影复测结果,瘘管最宽处约6.2mm,术者经综合考量后,选择ABFDQ-II 8规格全降解封堵器,搭配9F鞘管,经股路径介入完成封堵。

手术过程
术中封堵前选择性冠脉造影

封堵前造影可见右心房大量造影剂显影
封堵器锁定后造影

封堵器锁定后造影,封堵器位置正确,瘘管封堵完全,右心房无造影剂显影
术后造影

升主动脉造影可见瘘管封堵完全,右心房无显影
术后检查
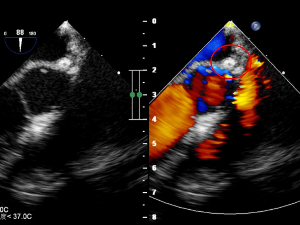
术后超声检查



超声下可见封堵器形态位置正确,未见明显血流通过,封堵器盘面贴合,位置固定
术后心电图

病例小结
CCAF是一种少见的冠状动脉畸形,约占所有先天性心脏病的0.2%~0.5%,为冠状动脉与心脏腔室或大血管之间存在的异常连接通道。其中以冠状动脉与心腔之间的瘘最常见,左右冠状动脉均可发生,右冠状动脉瘘较常见(50-60%)[1]。
本例患者术前CT显示左冠状动脉主干增粗明显,最宽约15.2mm,左回旋支向右发出一支血管前走行汇入右心房,粗约6.2mm,最终诊断为左冠右房瘘。而长期大量左向右分流导致肺血流量增加、右心室容量负荷加重,最终可引发右心衰竭。同时,患者已出现冠状动脉显著增宽伴瘤样扩张症状,瘤体内易形成血栓,血栓脱落可致远端栓塞或心肌梗死。根据JACC最新综述,源自左回旋支汇入冠状窦的瘘管具有进展为大型CAF的趋势,明确诊断后应尽早关闭[2],判定符合手术指征。
经导管介入治疗CAF因其安全、有效和创伤小的特点,目前已经被广泛使用。考虑本例冠状动脉瘘病变血管直径较粗,采用传统的弹簧圈进行封堵可能会导致锚定不稳或发生持续残余瘘或瘘管再通等风险,而采用传统金属封堵器封堵后易形成血栓造成心肌梗死。因此经术者综合考虑后,最终选择了ABFDQ-II 8规格全降解封堵器进行封堵。全降解封堵器具有良好的柔韧性,植入后能够自适应复杂的冠脉血管结构形态和组织运动,其对称双盘样结构结合专利锁定设计又能有效阻断血液分流,保证封堵稳定。此外,全降解封堵器在术后可逐渐降解,避免了金属封堵器长期存在体内可能引发的血栓风险。术后造影可见瘘管封堵完全,右心房无显影,超声下可见封堵器形态位置良好,未见残余分流,封堵成功。
该病例是全球范围内首次将全降解封堵器成功应用于左冠右房瘘封堵的突破性探索,充分验证了其在治疗复杂冠状动脉畸形中的临床应用潜力。该应用不仅有效解决了粗大瘘管封堵中器械锚定不稳的临床难题,避免了金属永久残留带来的远期血栓风险,也为患儿带来了长远生命获益。这一创新实践,为冠状动脉瘘的治疗提供了全新的解决方案。
感谢湖南省儿童医院陈智教授的病例分享
参考文献
1. 王明伟,张邢炜. 冠状动脉瘘介入治疗的现状[J].中国介入心脏病学杂志,2023,31(2):158-160.DOI:10.3969/j.issn.1004-8812.2023.02.014.
2. Al-Hijji, M, El Sabbagh, A, El Hajj, S. et al. Coronary Artery Fistulas: Indications, Techniques, Outcomes, and Complications of Transcatheter Fistula Closure. J Am Coll Cardiol Intv. 2021 Jul, 14 (13) 1393–1406.https://doi.org/10.1016/j.jcin.2021.02.044
-End-
Copyright © 2021, Scientech Medical. All rights reserved.
沪公网安备31011702008238号沪ICP备2021017431号