8月31日,第二十届中国心脏大会上(2023CHC),心泰医疗自主研发的Memoclip二尖瓣夹修复系统惊艳亮相!合肥高新心血管病医院梅举教授及其团队成功应用该系统完成一台经心尖二尖瓣夹合手术演示,顺利治疗一例复杂重度二尖瓣反流(FMR)高龄患者。术中,Memoclip系统展现出的操作便利性、高效性、安全性,以及消除反流达到满意的手术效果,获得了与会专家们的高度赞扬和一致好评。

病例资料
患者81岁,男性,主诉反复活动后胸闷气促2年余,加重5月余。既往有房间隔缺损封堵介入治疗史。入院诊断为重度二尖瓣关闭不全,三尖瓣关闭不全,持续性心房颤动,同时合并肺动脉高压,心功能不全,冠状动脉粥样硬化性心脏病等多种并发症。
术前评估
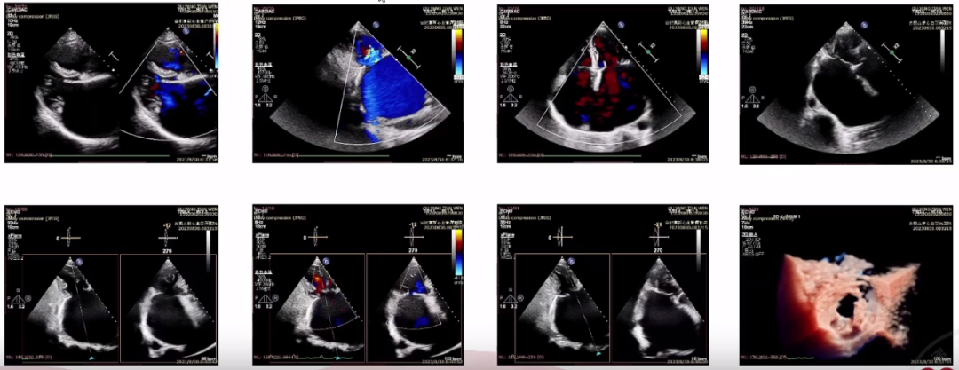
术前经胸超声心动图示,左右心房内径增大,二尖瓣关闭不全(重度,CarpentierⅠ,4+)。2区二尖瓣前叶长度约29mm,后叶长度约19mm,二尖瓣前、后叶增厚,后叶卷曲,活动略受损,二尖瓣瓣尖对合错位,错位高度约8mm,瓣尖距离瓣环深度约12mm,致使瓣叶闭合不拢,二尖瓣口面积约4.6㎝²,收缩期探及大量反流,主要来源于2区和3区,反流缩流颈宽约8mm,最大反流面积27.6㎝²,反流分数约28%,Pisa法测量反流有效面积0.47㎝²,反流容积约77ml。

(术前超声示,二尖瓣重度反流)
结合术前超声评估结果,手术复杂性高、难度大,国际经验即使能行TEER也常需要多个夹子。经梅举教授团队详细讨论手术方案,并与患者及其家属协商一致后,决定拟用两枚国产原研Memoclip二尖瓣夹为该患者实施经心尖二尖瓣夹合手术。
手术难点
患者左心房巨大,二尖瓣重度反流,手术难度较高。
手术过程
手术在经食道超声心动图引导下开展,术中经(第6肋间)心尖穿刺,送入输送系统后,沿导引鞘管先后植入两枚Memoclip二尖瓣夹,精准捕获并夹合二尖瓣前后叶病变处,实现“双夹释放”。即刻经食道超声评估显示,二尖瓣位可见两枚瓣夹回声,位置形态良好,二尖瓣反流基本消失。术后患者反流情况明显改善,取得了理想介入效果,手术顺利完成。

3D超声示二尖瓣开口呈“双孔”,术后反流基本消失
术后点评
该手术的成功,获得与会专家们的高度认可与好评。梅举教授表示,术中采用的国产Memoclip二尖瓣夹修复系统发挥了优异性能表现,可完成缘对缘修复,单侧夹臂可调节,经心尖入路,可控性极强,且术中纯超声引导,无需射线辅助,有望为更多不适应外科开胸手术的二尖瓣反流患者提供治疗新选择。最后,与会专家们表达了对该创新器械上市及未来临床应用开展的信心与期待!
持续创新 履践致远
近年来,随着心血管领域医学技术的发展、器械的迭代创新,微创介入治疗瓣膜性心脏病已成为重要治疗手段。由心泰医疗自主研发的Memoclip二尖瓣夹修复系统是二尖瓣夹合术的核心器械,在超声实时引导下,将二尖瓣夹输送至二尖瓣位置,分别夹住二尖瓣前、后瓣的对应位置,从而有效降低反流。此方法创伤小、恢复快,可为众多二尖瓣反流患者提供治疗新策略,带来新希望!
未来,心泰医疗将继续深耕结构性心脏病领域,立足临床,坚持创新,以原研技术力量产出更多优质产品与医疗解决方案,持续造福中国乃至全球结构心患者!
Copyright © 2021, Scientech Medical. All rights reserved.
沪公网安备31011702008238号沪ICP备2021017431号