*本文转载于【门诊新视野】微信公众号,作者《门诊》杂志
近日,上海市东方医院陆林祥教授团队成功应用我国自主研发的MemoSorb®生物可降解卵圆孔未闭(PFO)封堵器,为一位备受头疼困扰多年的年轻卵圆孔未闭患者完成PFO封堵治疗!为确保术中获得最佳封堵效果,陆林祥教授巧用心腔内超声(ICE)引导技术,精准定位、精确测量PFO大小,顺利开展院内首例可降解PFO封堵术。此次手术的成功,不仅标志着上海市东方医院心血管中心团队在结构性心脏病介入治疗领域取得了突破性成果,同时也为广大术者提供了宝贵的ICE引导下生物可降解PFO封堵术的临床经验!相信未来随着MemoSorb®生物可降解PFO封堵器临床应用的广泛开展,将有更多PFO相关心源性卒中及PFO相关症状患者从“介入无植入”的生物可降解封堵器中获益!

病例描述 | ICE引导完美助力可降解PFO介入封堵治疗
MemoSorb®生物可降解PFO封堵器

患者为31岁女性,主诉“头痛10余年,加重4年”。右心声学造影检查过程中,患者配合Valsalva动作后,左房室内可见大量(>30个/帧)微气泡回声,持续时间较短,左房室内微泡似起于房间隔;提示发泡试验阳性,Ⅲ级(大量右向左分流)。考虑到患者多年以来因头痛症状心理负担极重、年龄较为年轻,植入可降解封堵器意愿极为强烈,且PFO具有大量右向左分流的高危解剖特征,符合生物可降解PFO封堵器手术适应证,最终多学科手术团队共同决策后选择为其植入一枚最新上市的MemoSorb®生物可降解PFO封堵器。

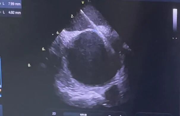
术前超声
手术在ICE引导下开展,经“右股静脉-右房-PFO-左房”成功建立工作轨道,于ICE指引下精准过隔,并进一步观察PFO结构。术中精确测量卵圆孔直径为4.92 mm、隧道长度为7.99 mm,遂沿路径于ICE引导下送入一枚28mm×28mm MemoSorb®生物可降解PFO封堵器至卵圆孔未闭处,并遵循一贴、二扣、三锁、四剪、五撤的规范化5S操作步骤,确保封堵器双盘骑跨于缺损左右两侧,牵拉成型线使封堵器双盘扣合住卵圆窝、呈“工”字型,随后经造影与ICE反复确认封堵器位置稳固,形态良好,遂锁定封堵器,剪断并抽出成型线。术后超声示,封堵完全,未见残余分流,整个过程约37分钟,手术圆满成功。
目前,患者恢复情况良好,已顺利出院,之前每周都会发作的头痛症状,手术后未在发生,亦未有其他不适症状,整体封堵效果理想,手术结果令人满意。

术后造影

术后超声
术后访谈 | ICE引导下完美精准定位卵圆孔,赋予PFO介入封堵新可能
MemoSorb®生物可降解PFO封堵器
陆林祥教授:本例患者偏头痛发作与对止痛药物的长期需求,已严重影响其日常生活和工作。入院后,结合患者临床症状与头颅核磁共振与右心声学造影结果确诊为 PFO。但由于患者本身较为年轻、PFO 症状典型且主观不愿植入传统金属 PFO封堵器,经多学科团队综合评估讨论后,决定使用最新上市的MemoSorb®生物可降解 PFO 封堵器为其施行介入封堵手术。
与房间隔缺损封堵治疗不同,PFO复杂的解剖结构对术者的经验与基本功提出了更高要求。本病例中患者隧道出口存在分隔,常规心超难以获取良好影像,但在ICE引导下则能够精准定位PFO并测量其大小,助力最合适封堵器型号的选择,有效避免了封堵器偏大影响内皮化进程、封堵器偏小封堵不全易脱落的弊端。同时,MemoSorb®生物可降解 PFO 封堵器的可降解材料本身在X线下不显影,而ICE则能够完整显示封堵器动态立体结构与封堵器形态,从而保证封堵器精准释放且盘面能够贴靠于卵圆窝位置,并通过封堵器专利成型锁边及成型锁定的创新设计,使盘面贴合更佳,且不受隔瓣运动影响。此外,MemoSorb®生物可降解 PFO 封堵器的另一点则在于,患者较为年轻,未来可能会有其他心脏介入治疗需求。若采用常规金属PFO封堵器进行封堵,金属永久残留则将阻碍房间隔穿刺通道、加大手术难度,而MemoSorb®生物可降解PFO封堵器植入人体约一年后,其主体结构可完全降解为二氧化碳与水排出体外,并由自体组织替代修复PFO,避免金属封堵器永久留存体内可能引发远期并发症的同时,房间隔再造完成,保有组织弹性,为未来房间隔穿刺等介入治疗保留了安全通路,更利于患者远期临床获益。
Copyright © 2021, Scientech Medical. All rights reserved.
沪公网安备31011702008238号沪ICP备2021017431号