
2024年3月18-24日,由国家心血管病中心和北京健康促进会联合主办、中国循环杂志协办的第五届中国结构性心脏病大会(CSHC 2024)以线上线下相结合的形式在北京盛大召开。会议期间,MemoSorb®可降解系列封堵器再度亮相,成为贯穿此次大会学术内容的主轴,赢得了众多专家的共同瞩目。“创新医疗器械、助力医学发展”,MemoSorb®可降解系列封堵器作为中国原创性成果的推出,成功开启了中国结构性心脏病治疗领域可降解新篇章,成为全球心血管介入治疗领域持续关注的创新热点。

回顾大会日程,3月19日-22日,来自国内多家临床中心的多位知名专家以手术直播、研究成果分享及大咖课程相结合的丰富形式,为广大与会专家及线上同道全面阐述了与MemoSorb®可降解系列封堵器的临床优势、操作技巧以及临床随访数据,这些干货满满的学术内容赢得了广泛关注与热势讨论,并为推动结构性心脏病介入领域的蓬勃发展注入了强劲动力!
重临床——手术直播 实战演示
第五届中国结构性心脏病大会
3月19日、20日,两台精彩绝伦的“降”心器械手术直播(1台全降解室缺封堵术、1台可降解卵圆孔未闭封堵术)轮番上演,分别由中国医学科学院阜外医院潘湘斌教授&董靖教授团队、阜外华中心血管病医院范太兵教授&宋书波教授&梁维杰教授团队联袂呈现,并邀请中日友好医院郑金刚教授、兰州大学第二医院胡浩教授、武汉亚洲心脏病医院沈群山教授、上海市东方医院陆林祥教授、山东第一医科大学第一附属医院李红昕教授等参与术后研讨。
CASE 1
潘湘斌教授团队:纯超声引导下应用MemoSorb®可降解PFO封堵器使多年偏头痛PFO患者重获心脑健康!

中国医学科学院阜外医院 潘湘斌教授、董靖教授
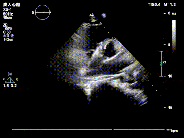
患者为41岁女性,存在金属过敏,既往偏头痛6年,头颅核磁提示存在多发脑缺血灶,右心声学造影提示心房水平大量右向左分流,符合PFO封堵指征。手术在单纯经胸超声指导下开展,术中操作较为顺畅,从建立工作路径到封堵器释放完成,整体手术仅耗时15分钟。术中经导管将28 mm×28 mm MemoSorb®可降解PFO封堵器精准送达卵圆孔未闭处后,在超声指导下严格遵循规范化5S操作步骤,先释放左盘面,牵拉成型线让左盘成型并贴壁稳定,继续回撤鞘管释放右盘面,超声下确认封堵器位置骑跨于缺损两侧、形态良好后,再次牵拉成型线。
上:左盘释放成型;下:右盘释放成型
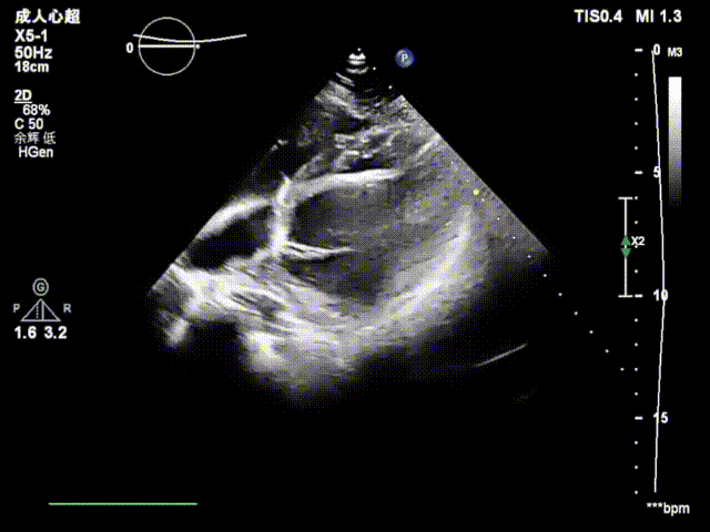
锁定封堵器并使其完全成型后,释放封堵器,复查超声示封堵器紧贴房间隔,夹合牢靠,无残余分流!
术后超声

点评讨论
在术后讨论环节,郑金刚教授、胡浩教授与潘湘斌教授以术中操作为切入点,围绕如何在纯超声引导下更安全有效的进行可降解封堵器植入展开了深入交流。与会专家一致认为,超声引导经皮介入技术的应用可为患者与医护人员的健康带来益处,其与创新可降解封堵器的完美结合,能够为患者赢取更多获益,值得临床推广应用!关于结构心器械研发领域的未来发展,潘湘斌教授充满期待地表示,可降解房缺封堵器即将上市应用、可降解左心耳封堵器正处于临床研究阶段,随着后续各类型可降解封堵器迈入临床,结构性心脏病可降解时代将全面到来。目前,由潘湘斌教授团队创新发明的“超声引导经皮介入技术”已被评选为中国首个联合国全球推广项目,相信未来在该原创技术全球推广发展的助力下,有望进一步加速我国可降解封堵器械国际化进程,造福全球结构性心脏病患者!
CASE 2
范太兵教授团队:采用MemoSorb®全降解封堵器使一例成人VSD患者重获“心”生!

阜外华中心血管病医院 范太兵教授、宋书波教授、梁维杰教授
患者为28岁女性,术前超声示室间隔膜部有一约6 mm的室间隔缺损(膜周型),距三尖瓣5 mm、距主动脉瓣3 mm,室水平左向右分流,过隔流速5.3 m/s。VSD封堵术中术者在X线指导下顺利建立室间隔封堵工作路径后,经造影进一步评估VSD大小与形态,并沿鞘管输送一枚腰部直径10 mm的MemoSorb®全降解封堵器至室间隔缺损处。
造影评估室间隔缺损形态大小
后在TTE指导下,术者按照标准操作流程先释放封堵器左盘,牵拉成型线,使封堵器左盘由纺锤形变成“圆盘形”;后释放右盘,经二次成型,使封堵器骑跨缺损两侧,紧贴室间隔,锁定成型线。

上:左盘释放成型;下:右盘释放成型、双盘骑跨缺损两侧
经牵拉测试,封堵器位置形态稳定,对瓣膜功能无影响,故完全释放封堵器。
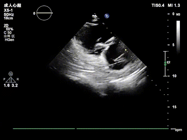
复查超声及造影提示封堵器位置形态稳定,无残余分流,手术圆满成功!
完全释放封堵器
术后超声

点评讨论
在术后讨论环节,沈群山教授、陆林祥教授、李红昕教授等围绕可降解封堵术临床操作规范展开深度交流,强调了从适应证选择、选伞、压鞘、超声引导到封堵器释放评估等全流程的技巧要点,并结合目前已开展的临床应用总结到,MemoSorb®可降解系列封堵器整体设计较合理,加之材料可降解的创新优势,真正做到了“介入无植入,植入无残留”,可为患者带来更显著的健康获益,对于年轻患者而言,由于其生命周期更长,相应的获益将更多、更长远!
强认知——大咖论道 规范发展
第五届中国结构性心脏病大会
3月22日,“先心病介入大咖谈”、“PFO学院大咖课程”、“先心病外科微创俱乐部”三场学术论坛精彩上演,会议期间,上海交通大学医学院附属上海儿童医学中心李奋教授、海军军医大学长海医院秦永文教授、北部战区总医院朱鲜阳教授等领域内众多大咖围绕新型可降解封堵器带来了多场高水平示教讲课,并邀请中国人民解放军北部战区总医院王琦光教授、深圳市人民医院袁杰教授、吉林大学中日联谊医院张文琪教授、中国人民解放军总医第一医学中心朱航教授、南京医科大学附属儿童医院莫绪明教授、甘肃省人民医院尤涛教授担任主持嘉宾。
李奋教授:可降解封堵器在儿童先心病介入治疗中的临床应用

儿童心脏具有组织娇嫩、机体尚在发育等解剖特点,对植入器械的要求更高,李奋教授结合中心临床数据,有力展现了MemoSorb®可降解系列封堵器是目前能满足儿童患者临床高要求的理想植入器械。自2022年8月全球首例完成至今,李奋教授已成功应用MemoSorb®全降解VSD封堵器为9例儿童患者完成VSD封堵手术,目前,7例患者已完成随访、2例随访正在进行中,第一例患者随访长达1年2个月。结合随访数据,李奋教授表示,整体而言,9例患者VSD封堵的围术期及中远期随访效果良好,对于大部分应用传统金属封堵器可实现有效封堵的VSD患者而言,采用MemoSorb®全降解VSD封堵器完全可行!
在讲座的最后,李奋教授还分享了一例儿童PFO患者封堵手术案例。该病例存在植入起搏器的需求,但由于植入起搏器需满足心腔无分流的条件,加之患者PFO相关偏头痛症状较为严重,故选择行PFO封堵治疗,并决定植入新型MemoSorb®可降解PFO封堵器。李奋教授指出,一般情况下,PFO封堵可解决2/3的头痛症状,即使不能解决,因可降解PFO封堵术后约1年左右封堵器就可降解,故并不会影响后续行左心相关介入手术,可见该创新器械的采用为儿童偏头痛治疗提供了新的解决方案。相信未来随着儿童心脏病学研究的深入开展,可降解封堵新技术有望为更多结构性心脏病儿童患者带来最大的临床获益。
秦永文教授:PFO可降解封堵器的研发历程与临床实践

讲座中,秦永文教授对我国可降解PFO封堵器的研发历程、相关临床研究及上市后临床应用启示展开详细解读。近十余年来,我国在可降解封堵器领域开展了大量研究工作,从材料筛选、制作工艺创新等相关的基础研究,到验证封堵器材料降解过程与规律的动物试验,再到临床研究,这些工作的持续积累不断推动着可降解PFO封堵器研制的进步。于2023年9月正式上市的MemoSorb®生物可降解PFO封堵器是中国创新的典范,相较于传统金属封堵器,该新型器械基于三层阻流膜、锁扣装置等多重结构设计优势,可在更好适应各类解剖结构的基础上,保障安全封堵,减少残余分流的发生。目前,上市前临床研究和上市后初步的临床应用结果均显示MemoSorb®生物可降解PFO封堵器应用安全、疗效可靠,有效降低了术后残余分流的发生率,且操作简便,值得推广应用!随着临床病例数的增长,也希望围绕创新器械开展上市后的临床研究,积累更多临床数据,给出真实世界更长期的有效验证。
朱鲜阳教授:可降解PFO封堵器的临床应用现状与展望

在学术分享环节中,朱鲜阳教授则结合大量循证证据及多部指南共识,系统阐述了近年来PFO诊疗领域相关进展与目前尚存在的主要问题。PFO相关卒中防治是近10年来研究热点,大量循证医学证据已证明行PFO封堵对卒中患者有益,但对偏头痛患者仍存在争议。因偏头痛发生机制复杂,PFO与偏头痛的关系以及封堵的疗效仍需要进行更为严谨的大样本RCT研究,为经导管封堵PFO治疗偏头痛提供更为有利的循证医学证据。可降解封堵器是目前较为理想的PFO封堵器,可避免心脏异物滞留、心脏磨蚀、镍离子过敏、阻碍房间隔介入手术路径、MRI受限等缺点,但在其规范操作、远期疗效等方面还需临床积累,未来期待随着新型可降解PFO封堵器临床应用的规范化发展,为临床提供医疗解决新方案的同时,持续给患者带来心脑健康的长远获益。
宋书波教授:生物可降解封堵器在经胸小切口VSD治疗中的应用

MemoSorb®全降解封堵器系统作为VSD封堵治疗“介入无植入”理念具象化体现,自上市以来一直备受临床医生关注。阜外华中心血管病医院宋书波教授在讲座中对中心四十余例植入数据的分析结果进行了汇报,并分享了全降解封堵系统经胸手术操作要点。由阜外华中心血管病医院所开展的一项聚焦MemoSorb®全降解封堵器的临床研究,共纳入了48例患者,其中7例采取经皮途径行VSD封堵治疗,41例采用经胸右侧腋下小切口行VSD封堵治疗,术中通过中空探条建立“右心房-三尖瓣-右心室-室缺-左心室”输送轨道。随访结果显示,中位随访2年,无一例患者出现房室传导阻滞、封堵器移位脱落、新发残余分流等不良事件,且经术后长程超声随访观察,封堵器降解后能够实现室间隔缺损的自然闭合,这将为患者带来更长远期的获益。值得注意的是,左盘面的降解速度较右盘面快,可能与左右心室血流动力学差异相关。
总结
第五届中国结构性心脏病大会
奋斗是时代不变的主题,创新是医学进步的源泉!以MemoSorb®生物可降解PFO封堵器、MemoSorb®全可降解VSD封堵器为代表的可降解封堵器的研发应用,是结构性心脏病介入治疗器械创新迭代历程中的重要飞跃,凭借“介入无植入”的理念,切实可为广大患者尤其是年轻患者带来更长远的获益。本届结构心大会上,结构性心脏病可降解封堵技术成为主线研讨的热点话题,实战演示与大咖研讨的深度联合,多维展现了创新MemoSorb®可降解系列封堵器的临床应用优势,以及结构性心脏病领域“可降解”创新发展趋势。未来,期待更多以生物可降解技术成果转化为基础的可降解封堵器械能够应用于临床,服务临床,造福更多结构性心脏病患者,减轻患者、家庭及社会负担的同时,切实改善患者健康状况,提高其生活质量!
Copyright © 2021, Scientech Medical. All rights reserved.
沪公网安备31011702008238号沪ICP备2021017431号