*本文转载于【中国医学科学院阜外医院】微信公众号
2024年9月29日,中国医学科学院阜外医院在新启用的日间手术中心,成功完成生物可降解房间隔缺损(ASD)封堵器上市后全球首植,正式拉开生物可降解ASD封堵器全球临床应用序幕!继全降解VSD封堵器、可降解PFO封堵器之后,生物可降解ASD封堵器的上市应用,代表着中国智造的可吸收封堵器正全面替代欧美金属封堵器!在新中国成立75周年之际,中国原创方法学衍生的技术及器械体系再次出现重磅创新成果,是中国医疗科技创新实力的集中展现,更是对全球民生健康的深情献礼。
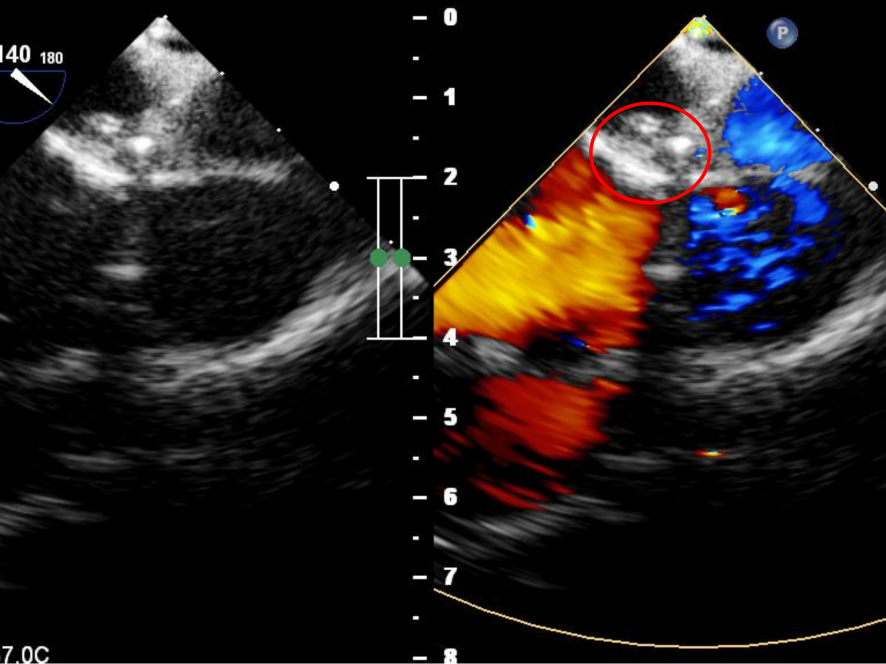
阜外医院在全球首创的超声引导介入技术是一种方法学,超声能看见完整的封堵器,并指导术者判断封堵器是否与房间隔贴合良好、有无变形或成功锁定,解决了放射线下可降解封堵器不显影的关键痛点。超声不但能看到可降解材料,而且能引导锁结器,并且通过推拉实验根据伞盘运动情况,准确判断锁结器是否锁紧,这些都是放射线引导难以做到的。国家心血管病中心联合四川大学王云兵教授团队、乐普心泰医疗,一起攻关,用原创性、颠覆性技术打造新质生产力,并且发展出了新模式、新动能。

阜外医院副院长潘湘斌(左三)正在为患者进行手术
PART.01
患者情况:
患者一为年轻男性,心脏超声显示:右心增大,室间隔及左室壁各节段厚度正常,收缩幅度正常。房间隔中部回声脱失约十余个毫米,缺损紧邻主动脉后壁。患者经心脏超声诊断为先天性心脏病房间隔缺损,房水平左向右分流。

患者二为年轻女性,入院心脏超声显示:右心轻大,左心内径正常;房间隔发育菲薄,中部回声脱失约十余个毫米,缺损距主动脉侧3mm;室间隔延续完整。经心脏超声诊断为先天性心脏病房间隔缺损,房水平左向右分流。

手术过程:
两例手术均在单纯超声引导下,行经皮ASD介入封堵,患者局部麻醉,全程意识清醒。于其右腿股静脉穿刺,置入导管导丝,并测量工作距离,建立顺畅轨道。结合术前评估情况, 术中超声引导下,手术团队均沿16F鞘管将大小合适的可降解封堵器精准送至房间隔缺损处,并遵循一贴、二扣、三锁、四剪、五撤的“5S”操作法及“轻”推“慢”锁步骤释放封堵器。超声观察封堵器双盘先后展开,轻拉、轻推钢缆及鞘管使其成型并紧密贴靠房间隔上,牵拉测试封堵器稳定性,超声确认无残余分流、无瓣膜关闭不全,封堵器形态、位置良好后,锁定并彻底释放封堵器,剪断抽出成型线,复查超声,无残余分流,封堵完全,撤出钢缆,两例手术均取得圆满成功。

患者从进入手术室到出院,仅仅用了6个多小时,阜外医院的医疗创新模式为患者提供更加高效、便捷、全面、优质的诊疗服务。此次手术,不仅是我国自主研发的生物可降解ASD封堵器上市后的全球首例应用,更是无放射线经皮介入技术体系创新发展成果的典型范例。
零射线,植入无残留,中国方案惠及全球健康福祉
阜外医院于2007年率先在国内成立心血管诊疗复合技术团队。团队致力于超声引导介入技术及器械体系的研究,实现了从理论到实践的飞跃,首创“无放射线经皮介入技术”方法学,为全球心血管介入手术树立了新的标杆。这一创新技术“不开刀,无放射线,甚至在患者清醒状态下治疗心脏病”,彻底颠覆了传统依赖放射线引导的手术模式,不但消除了放射线等医源性损伤,将手术适应症扩大到危重患者,而且提高了医疗服务的可及性,将心脏手术从要到大城市、大医院找大医生做的“重大手术”转变成门诊手术,甚至“上门手术”,为医疗资源贫瘠的国家和地区解决了致命的可及性问题,高度契合联合国可持续发展目标中对人类生命健康保护的呼吁。目前,该技术以“降低成员国医疗服务能力差异”的巨大贡献获得“世界卫生组织科技创新奖”,被联合国评选为全球推广的医疗项目,获得联合国资金及全球体系的支持,已在“一带一路”沿线国家广泛推广,服务国家战略,惠及全球民生健康福祉。
依托该技术体系的成熟发展,由我国自主研发的生物可降解ASD封堵器的上市应用,为全球结构性心脏病介入治疗领域带来了全新方案选择。该封堵器植入人体,即刻封堵有效,并促进介导心脏组织再生修复,自然愈合,约12个月左右可降解成二氧化碳和水,排出体外,植入无残留,避免了金属封堵器植入人体伴随终身可能引发的心脏组织磨蚀、传导阻滞、异物反应等潜在风险,房间隔由自体组织再造完成,结构完整,保有弹性,不影响未来其他左心介入治疗路径。超声引导介入技术在进一步保障手术安全性和有效性的同时,满足了临床无辐射、植入无残留、更低并发症、预后获益更长远的高需求。
创新前瞻,共筑人类卫生健康共同体
在探索全球心血管治疗新境界的征途中,单纯超声引导介入技术与创新可降解系列封堵器的联合应用,无疑成为引领全球结构性心脏病介入治疗创新技术发展的中国名片,成功突破了全球其他国家未能解决的技术瓶颈,实现了从跟跑到领跑的“换道超车”。目前,在超声引导介入技术全球推广助力下,由我国自主研发的全降解封堵器、生物可降解PFO封堵器已走出国门,在德国、法国、阿联酋等,开启全球临床应用,在国际舞台上,这张“中国新名片”正逐渐赢得广泛的认可与赞誉。同时,也期待生物可降解ASD封堵器的应用推广,为临床带来更加全面、高效的治疗选择。
创新前瞻,中国医疗科技正以前所未有的速度迈向世界领先水平。期待在原创技术体系护航下,能有更多的创新成果涌现,助力全球结构性心脏病领域可持续高质量发展,为人类健康事业贡献更多的中国方案和中国智慧。
Copyright © 2021, Scientech Medical. All rights reserved.
沪公网安备31011702008238号沪ICP备2021017431号